Skip to content Skip to footer

Book Your Spot Now

May 2026
Mon
Tue
Wed
Thu
Fri
Sat
Sun
27
28
29
30
1
2
3
4
5
6
7
8
9
10
11
12
13
14
15
16
17
18
19
20
21
22
23
24
25
26
27
28
29
30
31
WHY CHOOSE

A Professional Teeth Whitening

Instant Results

See a whiter smile up to 8 shades brighter in just one hour.

Safe and Gentle

Our safe teeth whitening process protects your enamel, approved by dental experts.

Customized for You

Tailored treatments ensure your perfect dental whitening glow. Tailored treatments ensure your perfect dental whitening glow.

Affordable Glam

Get a smile makeover without breaking the bank—ask about our flexible plans!

Confidence Boost

Shine in photos, meetings, or dates with a radiant smile.

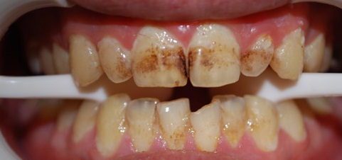
Stained Teeth Holding You Back?

Let’s face it: stained teeth from coffee, red wine, or smoking can make you feel self-conscious. You might avoid smiling in photos or cover your mouth during laughs—sound familiar?
Studies show 80% of people wish for a
whiter smile, but over-the-counter kits often disappoint, causing sensitivity or uneven results. The struggle is real, especially for young professionals, brides-to-be, or social media lovers who want a flawless bright smile for that next big moment.

Professional Teeth Whitening to the Rescue!

Professional teeth whitening is your ticket to a dazzling smile that turns heads. Unlike store-bought strips, our in-office dental whitening is safe, fast, and delivers dramatic results.
With affordable teeth whitening options and expert care, you can wave goodbye to stains and hello to confidence. Ready to shine? Book now and let us handle the rest!

What Our Patients Say

Mr. Samuel, 29

I was nervous about teeth whitening cost, but the results were worth every penny! My smile is so bright now!

troy-wade-dYgyzxlHJ58-unsplash

Ms Rachel, 24

The process was so easy, and my teeth are 6 shades whiter. I’m ready for my wedding!

divine-effiong-ZoaWz5lst00-unsplash

Mr. Jay, 27

Safe teeth whitening gave me the confidence to smile in every selfie!